Klachten
Lees hier meer over de meest voorkomende voetklachten en hoe Podotherapie van der Nat u kan helpen.
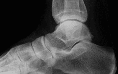
Hielspoor
Hielspoor behandelen Een Fasciitis plantaris of hielspoor is een haakvormige verkalking van de peesplaat aan het hielbeen, die erg vervelend kan zijn maar goed te behandelen is. Deze verkalking ontstaat door overmatige rek op de peesplaat en is vooral voelbaar bij...
Mortonse neuralgie
Wat is Mortonse neuralgie Een Mortonse neuralgie is een zenuwbeknelling tussen twee middenvoetsbeentjes. De beknelde zenuw raakt hierdoor geïrriteerd . Meestal betreft het de zenuw tussen het 3e en 4e middenvoetsbeentje, soms ook tussen het 2e en 3e...
Hallux valgus
Bij Hallux Valgus groeit de grote teen door een vergroeiing scheef naar binnen over de andere tenen. Het gevolg is een pijnlijke knobbel aan de buitenkant van de voet. Deze knobbel wordt ook wel een "bunion" genoemd en kan erg pijnlijk zijn. Symptomen: Wat zijn de...
Tailorsbunion
Bij een Tailorsbunion groeit de kleine teen door een vergroeiing scheef naar binnen over de andere tenen. Het gevolg is een pijnlijke knobbel aan de buitenkant van de voet. Deze knobbel wordt ook wel een "bunionette" genoemd en kan erg pijnlijk zijn. Symptomen: Wat...
Eeltpit, eksteroog of likdoorn
Wat is het verschil tussen een eeltpit, likdoorn of eksteroog? Simpel antwoord: er is geen verschil, het wordt in de volksmond alleen anders genoemd. Uiteraard moeten we deze groep niet verwarren met een wrat, dit is iets anders. Bij een eeltpit is er sprake van een...
Samenwerkende partijen




